Ogłoszenia / Usługi - pozostałe usługi

dodaj ogłoszenie

RTG i tomografia CBCT od 100 zł – Świętochłowice

  • Dodano: 2025-10-10
  • 38 wyświetleń
  • Cena: 100 zł

 

Nie musisz jechać daleko, by zrobić dokładne badanie RTG lub tomografię CBCT.

W naszej nowoczesnej pracowni w Świętochłowicach przy ulicy Sikorskiego 1 wykonasz bezpieczne, precyzyjne zdjęcia zębów i zatok – szybko, komfortowo i w przystępnej cenie.  

 

Gdzie dokładnie jesteśmy?
Centrum Medyczne Severux 
ul. Sikorskiego 1, Świętochłowice - bezpośrednio przy zjeździe z Drogowej Trasy Średnicowej

kontakt z Rejestracją: tel. 510 809 408, e-mail: [email protected]

 

Nowoczesny sprzęt – precyzja i bezpieczeństwo

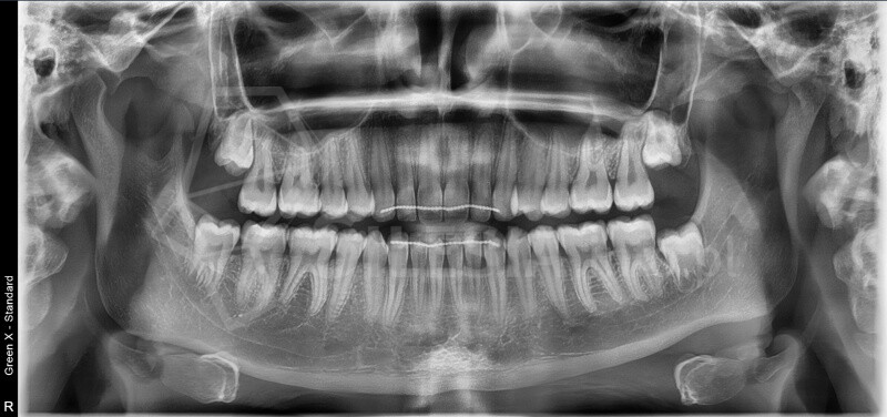
Pracownia wyposażona jest w tomograf stożkowy Vatech Green X (model 2025) – najnowszej generacji urządzenie, które łączy najwyższą jakość obrazów 2D i 3D z minimalną dawką promieniowania.
Badania są w pełni bezpieczne także dla dzieci i osób, które muszą wykonywać je regularnie.

Skanowanie trwa zaledwie 2,9 sekundy, a technologia AI automatycznie redukuje zakłócenia i poprawia ostrość zdjęć.
Specjalny tryb Endo pozwala uzyskać obraz kanałów zębowych w najwyższej rozdzielczości – idealny w diagnostyce endodontycznej.

 

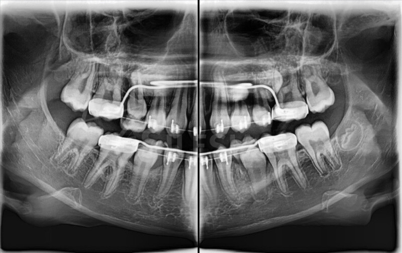
CBCT i pantomogram – co warto wiedzieć?

CBCT (tomografia stożkowa) to nowoczesne badanie 3D, które pokazuje zęby, kości, zatoki i stawy skroniowo-żuchwowe w pełnym trójwymiarze. Umożliwia bardzo dokładne zaplanowanie leczenia chirurgicznego, ortodontycznego, implantologicznego i laryngologicznego.

Zdjęcie panoramiczne (pantomogram) obejmuje całe uzębienie i szczęki, pokazując zmiany, których nie widać na zdjęciach punktowych RTG – takie jak torbiele, guzy, stany zapalne czy zwyrodnienia stawów.
To podstawowe badanie profilaktyczne, które warto wykonywać regularnie – przynajmniej raz na dwa lata.

 

Co trzeba wiedzieć przed wizytą?

  • Do wykonania RTG i CBCT wymagane jest skierowanie (zgodnie z przepisami).
    • Pacjenci naszej placówki otrzymują je od dentysty na miejscu.
    • Pacjenci z zewnątrz mogą uzyskać skierowanie podczas krótkiej konsultacji stomatologicznej.

  • Przed badaniem należy zdjąć biżuterię, kolczyki i piercing z okolic głowy oraz szyi.

  • Dzieci powinny mieć przy sobie książeczkę zdrowia.

  • Wynik badania przekazywany jest na płycie CD (do odtworzenia w każdym gabinecie) lub mailowo w formie cyfrowej.

 

Co nas wyróżnia?

  • Najnowocześniejszy tomograf stożkowy w regionie – Vatech Green X (model 2025).

  • Współpraca z 16 radiologami – szybki opis badań.

  • Możliwość połączenia konsultacji stomatologicznej z badaniem RTG/CBCT podczas jednej wizyty.

  • Badania także w pozycji siedzącej – pełna dostępność dla osób z niepełnosprawnościami.

  • Komfortowa lokalizacja z parkingiem i łatwym dojazdem komunikacją miejską.

  • Badania wykonuje dyplomowana elektroradiolog lic. Zuzanna Ziółkowska.

  • Ceny już od 100 zł.

 

Nie tylko stomatologia
Wykonujemy również badania zatok szczękowych i stawów skroniowo-żuchwowych – przydatne nie tylko w stomatologii, ale też w diagnostyce laryngologicznej i chirurgicznej.

 

Najczęstsze pytania pacjentów (FAQ)

1. Czy badanie CBCT lub RTG jest bezpieczne?
Tak. Nasz tomograf emituje znacznie mniejszą dawkę promieniowania niż starsze urządzenia, dlatego badania są bezpieczne także dla dzieci i osób wymagających regularnych kontroli.

2. Czy potrzebuję skierowania?
Tak, zgodnie z przepisami. Jeśli nie masz skierowania, możesz uzyskać je podczas krótkiej konsultacji z naszym dentystą.

3. Jak wygląda badanie CBCT?
To szybkie i bezbolesne badanie – pacjent staje lub siada w aparacie, a głowica wykonuje jeden obrót wokół głowy. Skan trwa zaledwie kilka sekund.

4. Ile trwa cała wizyta i kiedy dostanę wynik?
Cała wizyta zajmuje około 10–15 minut. Obraz otrzymasz od razu po badaniu, a opis radiologa zwykle w ciągu 1–2 dni roboczych.

5. Czy mogę zrobić badanie i wizytę u dentysty w tym samym dniu?
Tak, istnieje możliwość umówienia badania radiologicznego i konsultacji stomatologicznej za jednym razem. To wygodne rozwiązanie, które oszczędza czas i pozwala od razu rozpocząć leczenie.

 

Postaw na nowoczesną, bezpieczną diagnostykę obrazową.
RTG stomatologiczne i tomografia CBCT w Świętochłowicach – już od 100 zł.

 

 Rejestracja telefoniczna: 510 809 408
 Rejestracja online i pełna oferta badań: https://severux.pl/uslugi/stomatologia/

Kontakt

pokaż dane kontaktowe

Centrum Medyczne Severux Świętochłowice ul. Sikorskiego 1; tel. 510 809 408, e-mail: [email protected]
https://severux.pl/uslugi/stomatologia/

Formularz kontaktowy

 

Jeśli jesteś zainteresowany powyższą ofertą wypełnij formularz.

Chcę otrzymać kopię formularza na podany adres e-mail.

Redakcja portalu nie odpowiada za treść wiadomości formularza.
* pola obowiązkowe.